Oral Surgery & Implants
Gentle Tooth Removal
When a tooth can’t be saved, we use careful, minimally invasive techniques to remove it as comfortably as possible, supporting smooth healing and overall oral health.


Dental Implants
A long-term solution for missing teeth. Dental implants restore function, appearance, and confidence with a natural-looking, stable result.
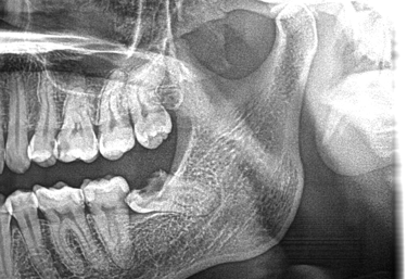
Safe and effective removal of impacted or problematic wisdom teeth to relieve pain, prevent infection, and avoid future complications.
Surgical Wisdom Tooth Removal






Oral Lesions
Thorough assessment and compassionate care for chronic or recurring oral ulcers, with treatment plans focused on addressing the underlying cause.
Jaw Cysts & Tumours
Expert surgical care for jaw cysts and tumours, with a strong emphasis on precision, safety, and comprehensive treatment planning.


Oral & Facial Pain Management
Accurate diagnosis and personalised treatment for complex oral and facial pain, helping you regain comfort and peace of mind.
Advanced techniques to rebuild bone and gum tissue, often required to support dental implants or restore natural structure and function.
Bone & Soft Tissue Grafting




Oral Cancer
Early detection and careful management of suspicious oral lesions, ensuring timely treatment with a compassionate and thorough approach.
